Been using iRadTech for a couple months now. It’s basically a radiographic positioning guide for medical imaging pros and students. Pretty solid app if you’re into that kind of thing.
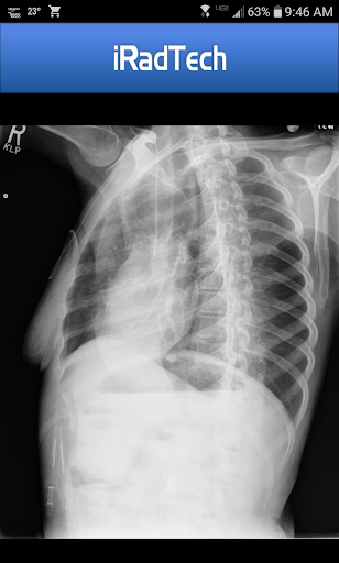
Here’s what you do: there’s detailed instructions for over 200 different x-ray positions. It’s got stuff like technical factors, patient positioning, image quality tips, and all that. And there’s also representative radiographic images you can zoom in on, which is pretty useful. And it even gives you suggested digital imaging settings for each position – super handy.
Look, if you work in medical imaging or are studying to be an x-ray tech, you’ll probably like this. It’s not perfect – the interface can be a bit clunky at times – but overall it does the job. Worth checking out.





